Well Worth the Wait!


Hover over to see After
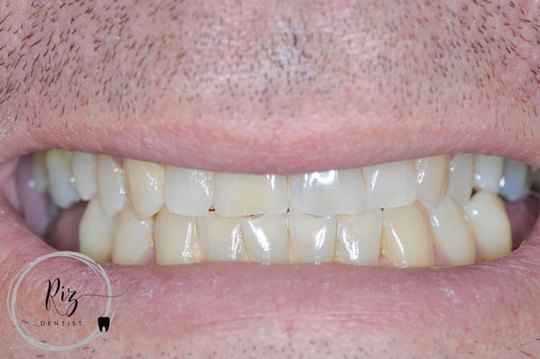
Before
After
I had a patient who came to me with a fractured front tooth that had been previously repaired with a white filling at another dental practice. Upon examination, it was quite a mystery why there was a silver filling on an upper front tooth. After removing the temporary filling, I was faced with a challenging case. The tooth was significantly smaller than the adjacent teeth, and there was no room to increase its length , as the bite had adjusted around teh broken teeth. Additionally, the tooth's length fell short of the requirement for crowning, as a minimum of 3mm of tooth structure is typically needed.
To address these challenges, we embarked on a procedure known as crown lengthening. This process involves ensuring adequate root length and sufficient bone around the root by removing 2 mm of gum and bone. This created the necessary space to lengthen the tooth and prepare it for a crown. Following the crown lengthening procedure, we had to wait for approximately 6 months for the gums to stabilize. During this time, gums can sometimes grow back or recede, so we needed to ensure a stable foundation for the crown.
Our patient was exceptionally cooperative throughout this process. Initially, we performed a single-tooth crown lengthening and provided a provisional crown, which the patient wore for 6 months. Once we were confident that the gums had healed and stabilized, we proceeded to create a single crown.
The result was remarkable, with the new crown matching perfectly with the surrounding teeth. The journey may have been extended, but it was certainly worth it, and the patient was exceedingly satisfied with the final outcome. This case highlights the importance of patience and cooperation in achieving the best possible dental result, especially when faced with complex challenges.
See in action
Patient Concerns:
The patient presented with a fractured front tooth, previously repaired with a white filling at another dental practice.
A mysterious aspect was the presence of silver filling on the upper front tooth.
The tooth was significantly smaller than adjacent teeth, and there was limited space to increase its length.
The tooth lacked the required length for crowning, which typically requires a minimum of 3 mm of tooth structure.
Treatment:
To address the issue, a procedure called crown lengthening was performed. This procedure involved ensuring adequate root length and sufficient bone around the root.
Approximately 2 mm of gum and bone were removed to lengthen the tooth, making it suitable for a crown.
After the crown lengthening, a waiting period of 6 months was observed to allow the gums to stabilize.
Once the gums had healed and stabilized, impressions were taken for the fabrication of a crown.
Outcome:
For this cooperative patient, a single-tooth crown lengthening procedure was initially performed.
A provisional crown was provided for the 6-month period during which the gums stabilized.
Following this waiting period, a single crown was crafted, and the result was a perfect match.
The patient expressed great satisfaction with the outcome.
This case emphasizes the complexity of addressing a fractured tooth with limited natural structure and the importance of procedures like crown lengthening to create a suitable foundation for restorative work. The patient's cooperation and the extended treatment journey led to a highly satisfactory result.











