Transformative Dental Restoration: Milled Crowns, White Fillings, and Chrome Dentures


Hover over to see After
Before
After
To address the patient's concerns and restore their dental health, we implemented a comprehensive treatment plan:
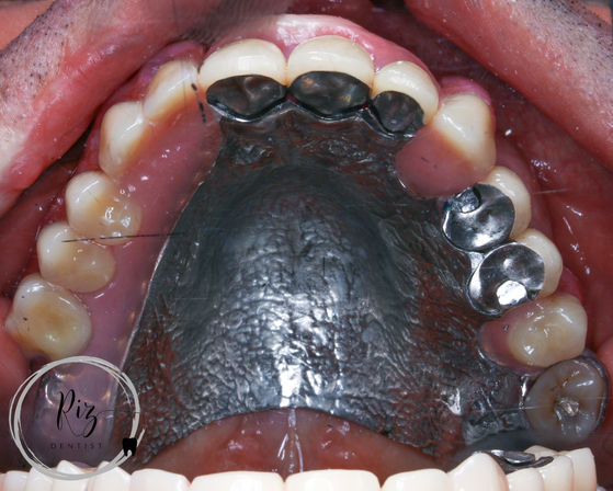
Upper Teeth:
Milled crowns were used to restore the teeth, enhancing the length and improving the overall appearance.
Lower Teeth:
White fillings were applied to restore the lower teeth, providing a natural look and feel.
Partial Dentures:
Upper and lower metal chrome dentures were provided to replace the missing teeth and restore full function.
Outcome
The patient was extremely pleased with the transformative results. The combination of milled crowns, white fillings, and chrome dentures not only addressed the aesthetic and functional issues but also significantly improved the patient's overall quality of life. This comprehensive approach highlights the power of modern dental restoration techniques in achieving remarkable outcomes.
See in action
Patient Concern
A patient with small and missing teeth resulting from wartime trauma sought our help. The patient was concerned about the appearance and functionality of their teeth, which had been compromised over time.














