Orthodontic Relapse Correction


Hover over to see After
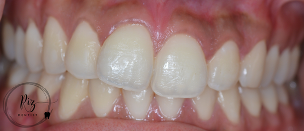
Before
After
This patient approached us with a concern regarding an upper arch relapse, as they had not consistently worn their retainers as recommended. It's crucial to emphasize that retention, regardless of what some may suggest, is indeed a lifelong commitment. Retainers should ideally be worn most nights for the rest of one's life to maintain the alignment achieved through orthodontic treatment.
In this case, we had to address the overlap issue that had developed due to the lack of consistent retainer use. To correct this problem, we employed a combination of techniques. We began with Interproximal Reduction (IPR), which is the strategic removal of enamel between teeth to create space for teeth movement. Following that, we used aligners to gradually move the teeth back into the desired position.
In addition to the alignment work, we incorporated teeth whitening to enhance the overall aesthetics of the patient's smile.
The patient was exceptionally pleased with the results, which highlights the effectiveness of the approach taken. This case serves as a reminder of the importance of wearing retainers as prescribed by orthodontists to maintain the results of orthodontic treatment. It also emphasizes that even in cases of relapse, there are effective solutions available to correct alignment issues and restore a beautiful smile.
See in action
Patient Concerns:
The patient sought assistance to correct an upper arch relapse, which occurred due to inconsistent wear of retainers.
Treatment:
The treatment addressed the overlap issue in the upper arch caused by the relapse.
Correction was achieved using a combination of techniques, including:
IPR (Interproximal Reduction), which is the removal of enamel between the teeth to create space for teeth movement.
Aligners to aid in achieving the desired alignment.
Whitening to enhance the overall appearance of the teeth.
Important Note:
The importance of wearing retainers consistently for a lifetime was emphasized, and it was noted that fixed retention may not be recommended due to potential issues (to be discussed in a future blog post).
Outcome:
The treatment results were highly satisfactory, and the patient was exceptionally pleased with the outcome.
This case serves as a reminder of the lifelong commitment to retainers and their role in maintaining the results of orthodontic treatment. The combination of techniques used in this case effectively corrected the relapse issue, and the patient's satisfaction with the results was notable.






