No More Overlap


Hover over to see After
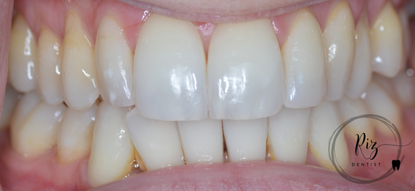
Before
After
We had the privilege of working with a patient who had been dissatisfied with their smile for an extended period, specifically seeking a correction for the upper front teeth overlap. Achieving this remarkable result involved a multi-faceted approach that combined various techniques.
To address the issue, we began with the use of IPR (Interproximal Stripping), a technique that involves the strategic removal of enamel between the teeth to create space for teeth movement. This was an essential step in the process.
Next, we utilized aligners to gradually move and align the teeth properly. The treatment involved two sets of aligners, with the first 12 weeks focusing on initial alignment and the additional 10 weeks aimed at achieving perfect alignment.
In addition to the alignment work, we also incorporated teeth whitening to enhance the overall aesthetics of the smile. To achieve that perfect, harmonious look, minor enameloplasty was performed to ensure that the teeth were evenly aligned.
Throughout this transformative process, the patient was wonderfully cooperative, which greatly contributed to the success of the treatment. As you can see from the results, the outcome was truly life-changing, and the patient's newfound smile radiated confidence and satisfaction. This case exemplifies how a combination of dental techniques and a patient's cooperation can lead to a remarkable and positively life-altering result.
See in action
Patient Concerns:
The patient had long-standing dissatisfaction with their smile, particularly due to the upper front tooth overlap.
Treatment:
The treatment involved a combination of techniques to address the upper front tooth overlap, including:
IPR (Interproximal Stripping), which entails the removal of enamel between the teeth to create space for teeth movement.
Aligners, which likely played a significant role in achieving the desired alignment.
Whitening to enhance the appearance of the teeth.
A touch of enameloplasty to achieve minor reshaping.
The treatment required two sets of aligners, with the first set used for 12 weeks.
Additional treatment for 10 more weeks was necessary to achieve perfect alignment.
Outcome:
The results were remarkable and described as truly life-changing.
Minor enameloplasty was performed to ensure evenly aligned teeth.
The patient was noted as wonderfully cooperative throughout the treatment process.
This case demonstrates the significant impact that comprehensive dental treatment can have in transforming a patient's life by addressing long-standing concerns and achieving remarkable results. The patient's cooperation and the combination of techniques played a key role in achieving the desired outcome.








