Achieving Balance: Bite Correction and Pain Relief


Hover over to see After
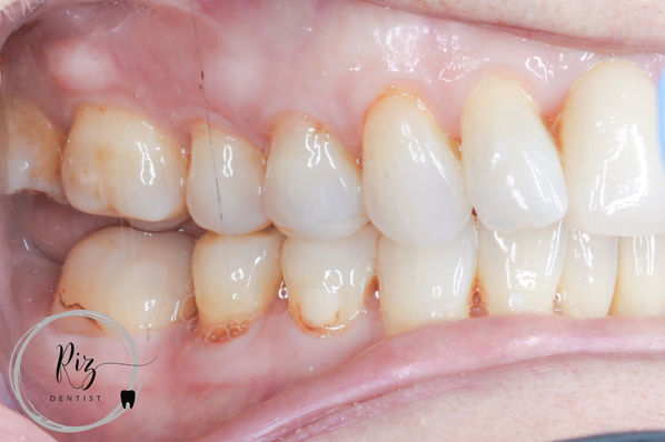
Before
After
To address these issues and improve the patient's occlusion and overall well-being, we implemented a comprehensive treatment plan:
Bite Correction:
Conducted thorough planning and corrected the bite initially outside the mouth.
Transferred the corrected bite inside the mouth through calculated teeth trimming.
Successfully increased the number of occlusal contacts from four to nine, significantly improving the patient's bite.
Occlusal Splint:
Crafted an occlusal splint to alleviate her headaches and joint aches.
Outcome
The significant improvement in the patient's bite resulted in enhanced functionality and comfort. After three months of wearing the occlusal splint, most of her joint pain and headaches had resolved. The patient experienced a considerable improvement in her ability to eat and bite food properly, along with relief from her discomfort, marking a successful outcome.
See in action
Patient Concern
The patient complained that, after undergoing orthodontic treatment and receiving multiple restorations with white fillings, only a very few of her teeth were meeting properly. Upon examination, it was revealed that this patient had only four units of occlusal contact. Consequently, she experienced difficulty when eating and biting her food, along with joint aches and headaches towards the end of the day.








