A Perfect Smile Indeed!


Hover over to see After
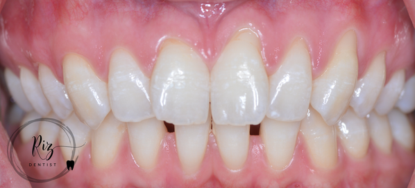
Before
After
I had the pleasure of working with a delightful and highly cooperative patient who sought our assistance due to their dissatisfaction with the alignment of their upper teeth. Although there were spaces between their lower teeth that could have necessitated a lengthy treatment and potentially some implants in the future, the patient's immediate preference was to focus on correcting the upper jaw.
To address this concern, we devised a treatment plan that focused on correcting the alignment of the upper teeth using aligners. Over the course of approximately 13 weeks, these aligners were highly effective in gradually moving and aligning the upper teeth. The end result was a perfectly aligned set of upper teeth and a stunning smile that brought immense satisfaction to our patient.
While the treatment for the lower teeth gaps was postponed to the future, this approach allowed us to prioritize the patient's immediate concerns and achieve a beautifully aligned upper jaw. This case demonstrates the positive impact that orthodontic treatments can have on a patient's smile and self-confidence , and in such little time with almost minimal damage to the existing teeth will always be my most preferred option for a smile make over , especially for the younger adults , as all other treatmnets like composite bonding / veneers / crowns are all irreversible , and will need life long maintainance .
See in action
Patient Concerns:
The patient expressed dissatisfaction with the alignment of their upper teeth.
Treatment:
The treatment plan prioritized addressing the upper jaw's alignment, as the patient's primary concern was focused on this region.
Lower teeth gaps were noted, and while they would require a longer treatment process, the patient's preference was to focus on correcting the upper jaw first.
The correction of the upper teeth alignment was achieved using aligners over a period of approximately 13 weeks.
Outcome:
The upper teeth were successfully corrected, resulting in perfectly aligned teeth.
The result was described as a stunning smile, which significantly improved the patient's satisfaction.
This case highlights the patient's collaboration and their decision to address their concerns in a phased manner, focusing on the upper jaw first. The use of aligners proved to be an effective and relatively quick solution for achieving the desired alignment and a stunning smile.This case demonstrates the positive impact that orthodontic treatments can have on a patient's smile and self-confidence , and in such little time with almost minimal damage to the existing teeth , and so will always be my most preferred option for a smile make over , especially for the younger adults , as all other treatmnets like composite bonding / veneers / crowns are all irreversible , and will need life long maintainance once started.










