A Journey to a Radiant Smile: Transformative Smile Makeover Spanning Two Years


Hover over to see After
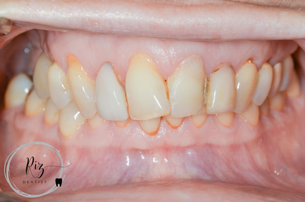
Before
After
Challenges with Failing Veneers and Crooked Teeth
The patient entered the dental journey with four failing veneers, encountering issues with both aesthetics and functionality.
The complexity heightened as the patient had crooked teeth, posing a challenge to achieve the desired aesthetic outcome without preparing the teeth a lot which could lead to loss of vitality and needing root canals .
We also decided that expanding the arch will make a huge difference to the smile width and face
Treatment: A Comprehensive Approach with Orthodontics and Veneers
The dental team engaged in a thorough discussion with the patient about treatment options, considering the trade-off between directly veneering crooked teeth and opting for a phased approach.
A decision was made to first correct teeth position and arch width using Invisalign orthodontic trays before proceeding with veneers. This was completed by Dr Scrivens.
This comprehensive approach aimed to optimize results, blending orthodontic correction with veneering for a pleasing and natural look.
Outcome: Two Years Later, a Pleasing and Natural Transformation
The journey spanned almost two years, starting with orthodontic correction followed by the placement of carefully crafted veneers.
The phased approach resulted in a pleasing and natural look, exactly as envisioned by the patient.
The transformation not only corrected the crooked teeth but also addressed the issues with failing veneers, providing a long-lasting and aesthetically satisfying solution.
The patient, having endured the journey, now radiates confidence with a radiant smile that reflects the meticulous planning and execution of the comprehensive smile makeover.
See in action




















